Skip to primary content

LECCINUM FCI – hodowla hovawartów

Domowa hodowla psów rasy hovawart. Zapraszamy!

LECCINUM FCI – hodowla hovawartów

Główne menu

  • Ja i… hovawarty.
  • Szczenięta
    • Szczenięta z poprzednich miotów
      • Rozrabiaki (2023)
      • Słoniki (2017)
      • Tropiciele (2016)
        • archiwum wpisów
      • Urwisy (2015)
        • archiwum wpisów
      • Wiercipięty (2013)
        • archiwum wpisów
      • Zimomordki (2012)
        • archiwum wpisów
        • Jawor Tu Pilnuje (ojciec)
  • Nasze psy
    • Aronja Adlig Blumenau
    • Una Sola Leccinum
    • Zazula Leccinum
    • Achaja
    • Pikselka
  • Sport
  • Kontakt

Zobacz wpisy

← Previous Next →

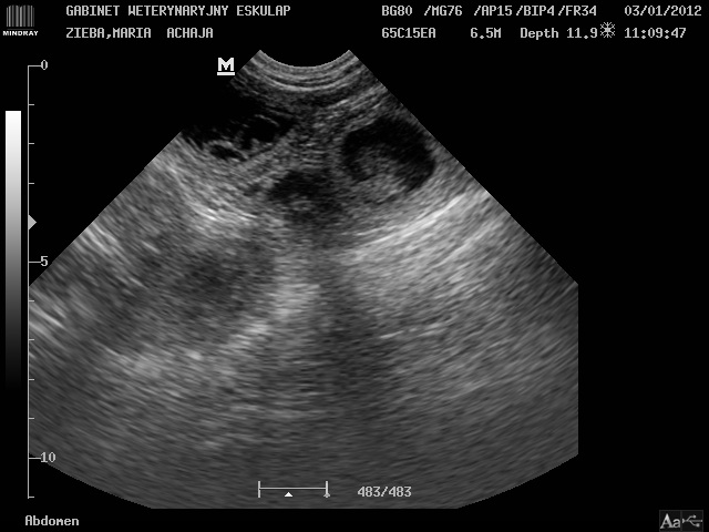
Pierwsze USG

Posted on 10 stycznia 2012 by leccinum

A jednak są!!! W achajowym brzuszku głowica aparatu USG bez problemu odnajduje co najmniej 3 piłeczki!!

Udostępnij:

  • Udostępnij na X (Otwiera się w nowym oknie) X
  • Udostępnij w serwisie Facebook (Otwiera się w nowym oknie) Facebook
Lubię Wczytywanie…

Powiązane

This entry was posted in Zimomordki by leccinum. Bookmark the permalink.

Leccinum na Facebooku

Leccinum na Facebooku
Witryna internetowa zbudowana na WordPress.com.
  • Rebloguj
  • Subskrybuj Zapisan/y/a
    • LECCINUM FCI - hodowla hovawartów
    • Masz już konto na WordPress.com? Zaloguj się teraz.
    • LECCINUM FCI - hodowla hovawartów
    • Subskrybuj Zapisan/y/a
    • Zarejestruj się
    • Zaloguj się
    • Kopiuj skrócony odnośnik
    • Zgłoś nieodpowiednią treść
    • Zobacz wpis w Czytniku
    • Zarządzaj subskrypcjami
    • Zwiń ten panel

    %d